Trám răng thẩm mỹ là công nghệ nha khoa khá phổ biến nhằm điều trị và phục hồi các tình trạng về răng đang gặp phải. Đây cũng được xem là một trong những phương pháp được nhiều người tin dùng và lựa chọn bởi những đặc tính ưu điểm nổi bật cũng như chi phí khá hợp lí của nó mang lại.
1. Trường hợp nào nên trám răng thẩm mỹ?
Đối với những trường hợp được các Bác Sĩ khuyên nên thực hiện công nghệ trám răng để xử lý triệt để:
- Răng bị sứt mẻ do bẩm sinh hay do bị ảnh hưởng của ngoại lực
- Răng bị gãy, vỡ do va đập
- Răng bị sâu hay bị mòn lớp men răng
- Răng yếu, thường xuyên bị ê buốt, xỉn màu
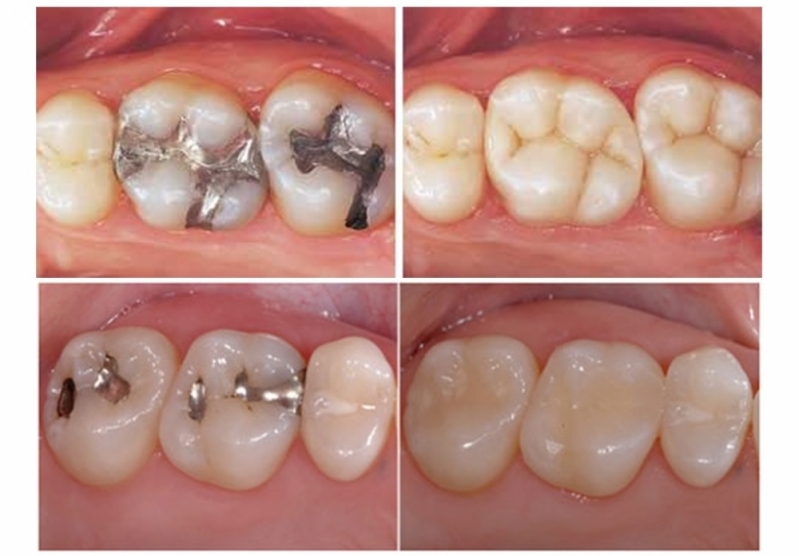
2. Phương pháp trám răng
- Trám răng trực tiếp: Vật liệu trám, thường bằng Amagam, được đặt trực tiếp lên răng ngay sau khi tạo xoang.
- Trám răng gián tiếp: Sau khi tạo hình xoang trám, nha sĩ tiến hành lấy dấu răng, mẫu hàm gửi cho các kỹ thuật viên điêu khắc, tạo hình miếng trám một cách chính xác. Miếng trám sẽ được gắn lên răng vào buổi hẹn tiếp theo.

3. Các kiểu trám răng
- Trám răng điều trị: sử dụng cho răng sâu, răng vỡ, mẻ, mòn men. Mục đích phục hồi chức năng, bảo vệ sức khỏe răng.
- Trám răng phòng ngừa: Phủ một lớp mỏng vật liệu trám có tính che phủ cao lên răng để bảo vệ răng khỏi các tác nhân gây hại.
- Trám răng thẩm mỹ: là phương pháp được sử dụng khi muốn che đi một số khuyết điểm, giúp răng đều đẹp và thẩm mỹ hơn.
- Liên hệ hoặc khi cần tư vấn bất cứ vấn đề gì về sức khỏe răng miệng. Hoàn toàn miễn phí!
4. Các ưu điểm trám răng thẩm mỹ đem lại
- Công nghệ trám răng là một trong nhưng kỹ thuật nha khoa khá đơn giản, có thể hoàn thành chỉ trong 1 lần khám duy nhất với thời gian cực kỳ nhanh chóng chỉ trong khoảng 15-20 phút.
- Hiệu quả thẩm mỹ đạt được sau khi trám răng thẩm mỹ là rất cao.
- Khôi phục chức năng ăn nhai, hạn chế sâu răng.
- Độ bền miếng trám tương đối cao, không có khe hở hay khoảng trống, có thời gian duy trì lâu dài từ 3-5 năm.
- Vật liệu trám an toàn với cơ thể, không gây bất cứ tác động xấu nào với sức khỏe.
- Chỗ trám có màu sắc tương đối giống răng thật, nên bạn có thể sở hữu hàm răng đều, đẹp, tự nhiên.





Đặt Lịch Hẹn
Hoặc gọi 0938306898 để được hỗ trợ trực tiếp