Sở hữu hàm răng “vạn người mê” là điều ai cũng mong muốn, nhưng không phải ai sinh ra cũng đều may mắn có được lợi thế đó, nhiều trường hợp cung hàm với nhiều khuyết điểm không ít nhiều ảnh hưởng đến ngoại hình. Do đó để khắc phục những khiếm khuyết ấy thì niềng răng chính là biện pháp đang được nhiều người ưa chuộng nhất hiện nay.
1. Trường hợp nào nên niềng răng?

Niềng răng chỉnh nha hiện đang là một trong những dịch vụ nha khoa phổ biến và mang lại hiệu quả cao, giúp khắc phục các trường hợp khuyết điểm răng sau:
- Cải thiện tình trạng hô móm do răng từ đơn giản đến phức tạp.
- Răng mọc lộn xộn, khấp khểnh, sai lệch khớp cắn.
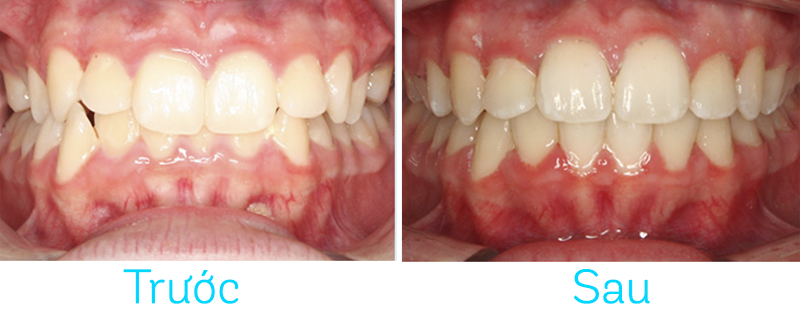
- Răng thưa, khoảng cách giữa các răng lớn, cách xa nhau.
- Chỉnh hình các răng khểnh mọc lệch khỏi răng hàm.
2. Các loại niềng răng phổ biến
Y học ngày càng phát triển, vì thế ngày nay có khá nhiều phương pháp niềng răng thẩm mỹ ra đời nhằm thỏa mãn nhiều nhu cầu khác nhau của khách hàng cũng như phù hợp với từng tình trạng răng.
a. Niềng răng mắc cài
Đây là phương pháp chỉnh nha truyền thống, gắn các mắc cài cố định trực tiếp lên bề mặt răng, sử dụng lực liên kết giữa các dây cung và mắc cài sẽ kéo răng lại một cách từ từ, cho tới khi có một hàm răng đều, đẹp, tự nhiên.
Mắc cài kim loại
Ưu điểm: độ bền cao, chịu được lực kéo lớn, chi phí rẻ, tác động nhanh.
Nhược điểm: Tính thẩm mỹ thấp, kim loại có thể gây kích ứng răng, nướu, má… không dành cho những người dị ứng kim loại.

Mắc cài sứ
Ưu điểm: Mắc cài được làm bằng sứ, có độ chịu lực tốt, khó phá vỡ, dây thun có độ đàn hồi cao, đảm bảo thẩm mỹ cho chốt sứ trùng với màu răng tự nhiên.
Nhược điểm: Chi phí cao hơn mắc cài kim loại, thời gian niềng răng dài hơn, chân đế xung quanh có thể bị nhiễm màu nếu không được vệ sinh đúng cách.

Mắc cài niềng răng tự khóa
Có hệ thống nắp trượt tự động hoặc cánh kim loại để đậy và giữ dây ở trong mắc cài.
Ưu điểm: giảm lực ma sát, bớt đau nhức răng, nướu, kiểm soát và cố định hàm tốt hơn, dùng lực nhẹ hơn, dây ít bị biến dạng, rút ngắn thời gian đeo niềng.
Nhược điểm: Mắc cài đòi hỏi thiết kế phức tạp, độ dày của mắc cài lớn, gây khó chịu, chi phí cao.
Mắc cài mặt lưỡi
Là loại mắc cài dán ở mặt trong của răng.
Ưu điểm: tính thẩm mỹ cao, niềng răng không bị phát hiện.
Nhược điểm: Chi phí cao, gây khó chịu cho lưỡi.
b. Niềng răng không mắc cài
Thay vì phương pháp niềng răng mắc cài, thì đây là phương pháp niềng răng chất lượng cao nhất, sử dụng khuôn niềng bằng nhựa dẻo trong suốt, ôm khít vào răng, tạo lực dịch chuyển và sắp xếp lại các vị trí răng bị lệch lạc, giúp người dùng thoải mái, thuận tiện trong khi ăn uống, vệ sinh răng miệng dễ dàng, mang đến sự tự tin trong suốt quá trình niềng răng.
Ưu điểm: Dễ dàng tháo lắp, tiện lợi, thoải mái, thuận tiện vệ sinh răng miệng, tính thẩm mỹ cao nhất.
Nhược điểm: Mới mang khuôn niềng sẽ khiến bạn gặp khó khăn về phát âm, ăn uống, chi phí đắt đỏ nhất trong các loại niềng răng.

c. Niềng răng tháo lắp
Đây được xem là phương pháp ít phổ biến nhất trong 3 phương pháp niềng răng thâm mỹ hiện nay. Phương pháp này thường được Bác Sĩ chỉ định trong trường hợp khi muốn chỉnh lại nha sau một thời gian đeo niềng hoặc được sử dụng để niềng răng cho các bé đang ở độ tuổi từ 8-12 tuổi.
Ưu điểm: Giá thành rẻ, sử dụng đơn giản, dễ dàng tháo lắp, vệ sinh.
Khuyết điểm: Phải tháo khí cụ khi ăn, gây nhiều cảm giác khó chịu khi mới sử dụng, không được phổ biến.




Đặt Lịch Hẹn
Hoặc gọi 0938306898 để được hỗ trợ trực tiếp