Răng sứ thẩm mỹ được xem là một cuộc cách mạng trong ngành nha khoa. Tuy là một loại răng giả nhưng có màu sắc và hình dáng giống răng thật, được dùng để phục hình lại những chiếc răng kém xinh mang đến cho bạn hàm răng, đều đẹp tự nhiên cùng một nụ cười tỏa nắng.
Check được mã code răng sứ chính hãng 100%
1. Các loại răng sứ thẩm mỹ
a. Răng sứ kim loại
Là răng sứ có phần khung sườn làm bằng kim loại, bên ngoài phủ một lớp sứ tạo hình. Ưu điểm của răng sứ kim loại là giá thành thấp, dùng được cho mọi loại phục hình. Tuy nhiên, thành phần kim loại trong răng sẽ bị oxy hóa sau một thời gian sử dụng dẫn tới tình trạng đen viền nướu, độ chịu lực không cao, tính thẩm mỹ lâu dài không được đảm bảo và không thích hợp cho những người bị dị ứng với kim loại.
b. Răng toàn sứ cao cấp
Đúng như tên gọi, loại răng này được cấu tạo hoàn toàn từ chất liệu sứ cao cấp của Đức – quốc gia đứng đầu thế giới về nền y học hiện đại.
Quy trình phục hình răng sứ thẩm mỹ được sử dụng công nghệ CT 5 chiều – công nghệ bọc sứ hàng đầu của Mỹ, cùng kỹ thuật CAD/CAM – hệ thống phân tích dữ liệu chuẩn xác bậc nhất hiện nay, giúp chế tạo răng sứ chính xác và phù hợp nhất với răng của bạn. Đảm bảo khi lớp sứ được chụp lên răng không gây tình trạng cộm cấn khó chịu.
Răng toàn sứ cao cấp, hoàn toàn không chứa thành phần kim loại, không gây kích ứng, không đen viền nướu, hình dạng, độ cứng, độ trong tự nhiên như răng thật, tính thẩm mỹ hoàn hảo, là lựa chọn tối ưu nhất hiện nay.
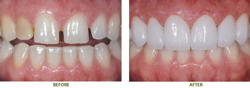
2. Trường hợp nào nên bọc răng sứ?
Bọc răng sứ là phương pháp phục hình cho hàm răng kém xinh, sử dụng sứ để thay thế cho răng thật mà không làm ảnh hưởng đến chức năng ăn nhai cũng như tính thẩm mỹ và trường hợp tốt nhất được khuyên nên bọc sứ là khi:
- Răng mọc lệch, hô móm
- Mất răng, răng sứt mẻ, gãy vỡ, chết tủy
- Răng bị nhiễm màu nặng, ố vàng, xỉn màu không thể tẩy trắng thông thường
- Răng không đồng đều, so le hoặc thưa, xấu
Răng sứ sẽ khắc phục hoàn toàn những khuyết điểm của hàm răng cũ, cho bạn một hàm răng mới trắng bóng, đều đẹp, bền chắc, ăn nhai như răng thật.
với các chuyên gia hoặc gọi tới tổng đài để được tư vấn hoàn toàn miễn phí.
3. Tại sao nên bọc răng sứ tại Nha Khoa KDA Smile?
- Răng sứ có nguồn gốc, xuất xứ rõ ràng, đảm bảo 100% chính hãng.
- Có nhiều lựa chọn từ bình dân tới cao cấp.
- Cơ sở hạ tầng, máy móc kỹ thuật đạt chuẩn quốc tế.
- Liệu trình nhẹ nhàng, dễ chịu, đảm bảo chất lượng từ các nha sĩ lành nghề, giàu kinh nghiệm.





Đặt Lịch Hẹn
Hoặc gọi 0938306898 để được hỗ trợ trực tiếp